编辑:品牌网 来源:品牌网
作为301呼吸疾病论坛的新新板块,“疑难病例版块”自去年峰会一经推出便广受好评,线上、线下均获得广泛关注和热烈讨论。因此,今年“疑难病例版块”和各人如期见面啦!
版块汇总了2024年度解放军总医院呼吸学部多中心、大胸科的难诊、难治、多学科交叉的典型病例,涵盖呼吸少见病、罕见病,体现了总医院呼吸学部医生在疑难病例诊疗中的经验与智慧。同时,我们也邀请了来自呼吸学部内科、重症医学科、介入诊疗、胸外科、病理科、放射科的专家教授对病例进行讲解分析,现场还设有讨论、答疑等精彩环节。
欢迎各人关注“疑难病例版块”,一起让常见病变得更有深度,让疑难病变得一目了然,so easy!
解放军总医院呼吸学部田芳芳医生介绍:“本次峰会我们汇报的是一例呼吸困难伴周身皮疹的病例,患者为老年女性,3月余前出现咳嗽、咳痰伴气短、乏力、关节疼痛,1月余前出现全身散在红色皮疹,按压不褪色,伴瘙痒,躯干部皮疹呈弥漫性分布,患者气短逐渐加重,出现呼吸困难,活动受限,卧床为主,查体:颜面部、四肢见散在红色皮疹,颈部以下躯干部呈弥漫性红色皮疹,伴部门破溃。双侧颈部握雪感(++)。究竟是是怎样不一样的“皮气”呢?请各人一起讨论互动!”

解放军总医院呼吸学部秦英季医生此次分享了一例发热伴双目失明的疑难病例:“患者为中年男性,急性病程。以间断发热13天,双眼失明6天为主要症状特点。院外头孢曲松、地塞米松治疗效果差。外院头颅核磁及双侧眼眶MR平扫未见明显异常;胸部CT提示双肺散在少量炎症;脑脊液化验均未见异常。既往高血压病史。入院查体:双侧瞳孔等大等圆,直径约为6mm,对光反射消失,眼球活动自如,视力无。失明的“巨人”,背后原因究竟为何?”

解放军总医院呼吸学部韩欣洁医生此次汇报是经呼吸科、耳鼻喉科及脑外科联合手术后最终确诊的疑难病例:“该患者为中年男性,既往慢性粒细胞性白血病病史,以发热伴肺炎、突发肢体偏瘫起病,头颅MRI新发大片阴影,除外脑出血,鼻窦ct可见鼻窦炎,气管镜下可见气道灰白色坏死物附着。经脑外科脓肿引流、耳鼻喉科行鼻窦病变清除术联合治疗,最终明确病理显现背后“真凶”,这突如其来的“瘫痪”究竟为何?”

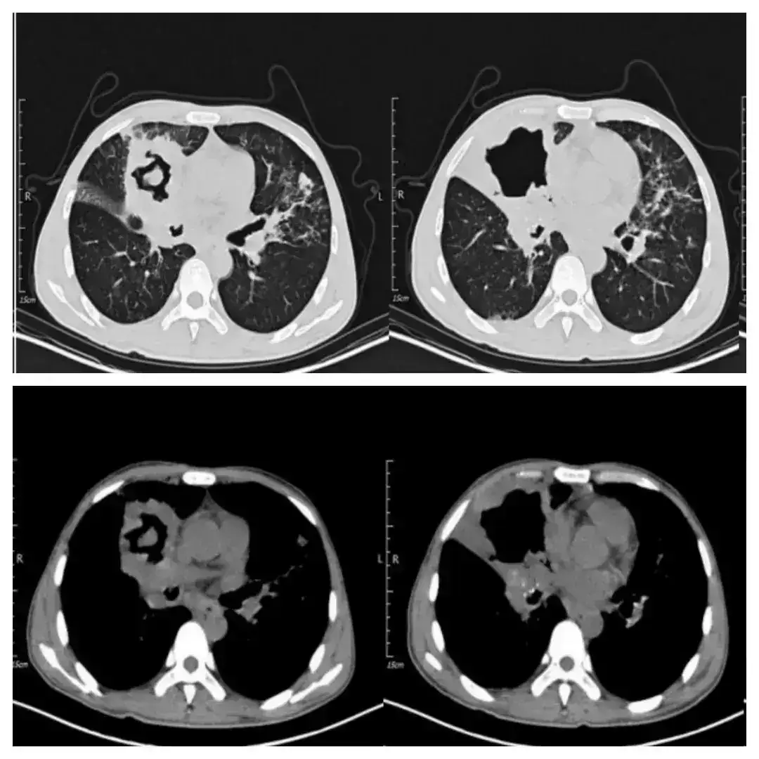
解放军总医院呼吸学部赵凡杰医生介绍病例:“患者男性,40岁,以反复发热、咳嗽、咳痰2月余,咯血1天来诊。患者院外抗感染等药物治疗效果不佳,胸部CT提示右肺占位、空洞形成,双肺炎症,电子支气管镜检查提示右肺中叶坏死物质堵塞管腔,灌洗液NGS提示:肺炎克雷伯菌,序列数2,低信号强度;人类疱疹病毒4型,序列数20,信号强度低;活检病理提示肿瘤性病变可能性大,结核不除外。最终病理诊断出乎意料,感染?肿瘤?还是另有其他,敬请关注谜底揭晓。”

解放军总医院呼吸学部张信信医生介绍:“免疫与感染是呼吸科绕不开的恒久话题。通过一例合并多种危险因素的免疫抑制患者霉菌感染的病例汇报,实验探讨这类人群真菌感染的防治手段和背后的考量,从而更好地为患者的治疗保驾护航。”
疑难病例、临床思辨,精彩不停
快来现场一同揭晓吧!
时间:2024年7月26日 08:30-17:40
地点:解放军总医院第八医学中心门诊六层远程中心

刘慧莹 副教授
解放军总医院呼吸与危重症医学部呼吸感染科副主任,副主任医师、副教授、医学博士、硕士研究生导师。国家自然科学基金、北京市自然科学基金评审专家。
扫一扫检察
第十九届301呼吸疾病学术会议
医师网专题页面
扫一扫检察
直播专题页面